Retina / Membrana Epirretiniana
¿Qué es una membrana epirretiniana macular?
Las membranas epirretinianas maculares se desarrollan por un crecimiento de tejido fibroso sobre la superficie interna de la mácula en la retina.
La mácula es la parte central de la retina en la que residen el 90% de nuestra visión y es la que nos permite ver los detalles de los objetos a nuestro alrededor. Cuando estas membranas se contraen se produce una distorsión del tejido retiniano formándose pliegues o arrugas en la mácula alterando su funcionalidad y, por tanto, la distorsión en la visión. En la mayoría de las ocasiones es necesario eliminarla con microcirugía para evitar la pérdida irreversible en la visión.
Aunque puede aparecer a cualquier edad, suelen evolucionar lentamente y son más frecuentes en personas por encima de los 50 años, sobre todo a partir de los 70.
Principalmente en la mujer y pueden afectar a ambos ojos. En este último caso, incluso pueden llegar a ser asimétricas y por lo tanto evolucionar de forma diferente en cada ojo. También se pueden denominar fibrosis premacular, membrana en celofán o membrana epimacular, aunque la más extendida es membrana epirretiniana.
Algunos de los principales factores de riesgo son aquellos pacientes que han experimentado una cirugía ocular, que tienen inflamaciones intraoculares, con patología en los vasos de la retina o que han presentado una membrana epirretiniana macular en su otro ojo.

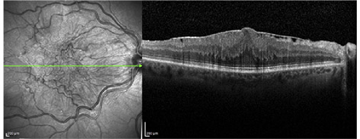
Tomografía de Coherencia Óptica de alta resolución que permite analizar en detalle la estructura de la retina y con ello orientar el pronóstico de manera precisa en una paciente con membrana epirretiniana.
Tipos de membrana epirretiniana
Podemos hacer la siguiente clasificación:
Grado 0
Se trata de una membrana semitransparente que no causa distorsión sobre la retina ni oscurece los vasos sanguíneos subyacentes. Se denomina maculopatía en celofán.
Grado 1
Este tipo de membrana sí causa distorsión sobre la retina aunque posibilitar ver los vasos sanguíneos subyacentes.
Grado 2
Esta membrana es opaca y presenta una coloración blanquecina. Esta vez sí provoca una distorsión sobre la retina que oscurece los vasos sanguíneos subyacentes.
Causas de la membrana epirretiniana
Las causas son variadas, aunque las más frecuentes son el desprendimiento posterior de vítreo y la miopía. Otras menos frecuentes pueden ser: inflamaciones intraoculares, desprendimiento de retina o traumatismos oculares severos.Entre las principales causas podemos hacer la siguiente clasificación
Idiopáticas
La mayoría de membranas epirretinianas en personas mayores de 60 años se consideran idiopáticas, es decir, aparecen en pacientes sanos sin evidencia de otra enfermedad. Actualmente se piensa que su aparición es como consecuencia del proceso de envejecimiento que sufre el vítreo (gel interior del ojo) y con el paso de los años se separa de la retina.
Secundarias
Su aparición puede estar relacionada con alguna inflamación intracoular como la uveítis, enfermedades vasculares (la diabetes u oclusiones venosas en la retina), tras una cirugía vitreoretiniana o por alguna complicación tras una cirugía de desprendimiento de retina. También puede estar causado por tumores intraoculares o alguna enfermedad ocular degenerativa como la retinosis pigmentaria.

Tomografía de coherencia óptica de alta resolución y de campo amplio que muestra una membrana epirretiniana en la superficie de la mácula que distorsiona la estructura de la retina.
Síntomas de la membrana epirretiniana
Inicialmente el paciente nota una leve distorsión de las imágenes, así como las líneas onduladas o las letras y números en la lectura más pequeños. También es frecuente que el paciente note visión borrosa en la zona central de la visión. La manifestación de una membrana epirretiniana pueden variar de más leves a más severos y pueden afectar a uno o ambos ojos:
→ Pérdida de visión central, borrosidad y distorsión.
→ Deformación de los objetivos (La metamorfopsia se puede confirmar realizando un test de Amsler).
→ Visión doble (diplopía).
Diagnóstico de la membrana epirretiniana
Durante la visita al especialista, tras un exhaustivo examen oftalmológico, se evaluará la membrana epirretiniana analizando el grado de ditorsión producido en la retina y la disfunción visual que pueda causar.
Es imprescindible la realización de tomografía de coherencia óptica (OCT) de alta resolución con protocolos de escaneado macular individualizados para cada caso, y la interpretación por un especialista en diagnóstico por imagen de la mácula. Este estudio es muy importante para determinar si la extracción de la membrana puede mejorar la visión del paciente.
En general al paciente se le debe realizar el siguiente examen oftalmológico:

→ Valoración de la visión lejana y cercana, así como examen pupilar y refracción.
→ Tensión ocular: determinar la presión intraocular
→ Estudio del fondo del ojo: especialmente la mácula para determinar el grado de membrana epirretiniana.
→ Angiografía por fluorescencia.
→ OCT macular para confirmar el diagnóstico, así como la forma y grosor de la membrana epirretiniana y descartar edema macular quístico.
→ Biometría ultrasónica o por interferometría.
→ Estudio del endotelia corneal, habitualmente por la lámpara de hendidura o mediante recuento de células endoteliales.
Tratamiento de la membrana epirretiniana
Cuando es incipiente la cirugía no suele ser necesaria pero sí controles y seguimiento de la membrana epirretiniana mediante OCT. No obstente, cuando hay disminución de la visión y metamorfopsia (distorsión de las imágenes) el único tratamiento válido es la extiparción de la membrana epirretiniana mediante una intervención quirúrgica (vitrectomía). Esta intervención se realiza con anestesia local y de forma ambulatoria.
Durante el procedimiento el cirujano debe separar la membrana de la superficie de la mácula. Una vez ésta quede liberada la mácula se aplana y la visión se recupera gradualmente. La habilidad del cirujano es determinante en el resultado visual final.
¿Qué se puede conseguir?
→ Mejorar la visión y distorsión de los objetos.
→ Evitar la pérdida progresiva de la visión.
Prevención de la membrana epirretiniana
Lo más importante es la detección precoz de esta patología mediante revisiones oftalmológicas anuales con el especialista en retina a través de técnicas diagnósticas de gran precisión para valorar el posible tratamiento, así como la evolución y pronóstico de la enfermedad.
Preguntas frecuentes
→ ¿Es habitual la aparición de membranas epirretinianas?
Las membranas epirretinianas maculares afectan al 2% de la población a partir de los 50 años.
→ ¿Es efectiva la intervención quirúrgica?
Se trata de una de las cirugías oculares de retina con mejores resultados si se detecta precozmente. Puede llegarse a recuperar la visión hasta en un 50%.
→ ¿Puede reaparecer una membrana epirretiniana tras la cirugía?
Sí, pero en un pequeño porcentaje que no es mayor del 5% en los casos con pacientes sometidos a vitrectomía. el recrecimiento de la membrana puede ser más frecuente en pacientes jóvenes.
→ ¿Una membrana epirretiniana puede conducir a la ceguera?
No llega a perderse el 100% de la visión pero al afectar a la mácula la pérdida de la visión central puede ser muy discapacitante. Por eso se recomienda la intervención quirúrgica para frenar su evolución lo antes posible.