Retina / Diagnóstico de las enfermedades de la retina
Pruebas diagnósticas de la retina
Para el diagnóstico correcto de estas y otras patologías relacionadas con la retina, son necesarias exploraciones exhaustivas del fondo de ojo con tecnología sofisticada y pruebas específicas propias de la consulta moderna de un oftalmólogo especialista en retina y mácula que en muchas ocasiones favorecerán la detección precoz de estas enfermedades, alguna de ellas, principales causas de ceguera en España.

La detección precoz es fundamental en cualquiera de las enfermedades de la retina, sobre todo en aquellas que conllevan un elevado riesgo de ceguera. Una actuación preventiva, por tanto, puede evitar problemas de mayor gravedad, por lo que es imprescindible que los pacientes se sometan a exámenes anuales realizados por profesionales y especialistas en retina.

Angio-OCT
Uno de los mayores avances en el ámbito de la Tomografía de Coherencia Óptica es la llegada de la Angio-OCT. Se trata de una prueba no invasiva e indolora que nos permite realizar una angiografía de la circulación del ojo sin necesidad de inyección de contraste, evitando así los riesgos que esta técnica suponía hasta el momento, al mismo que tiempo que recibimos gran cantidad de información sobre la estructura de los vasos sanguíneos de la retina de forma cómoda para el paciente.
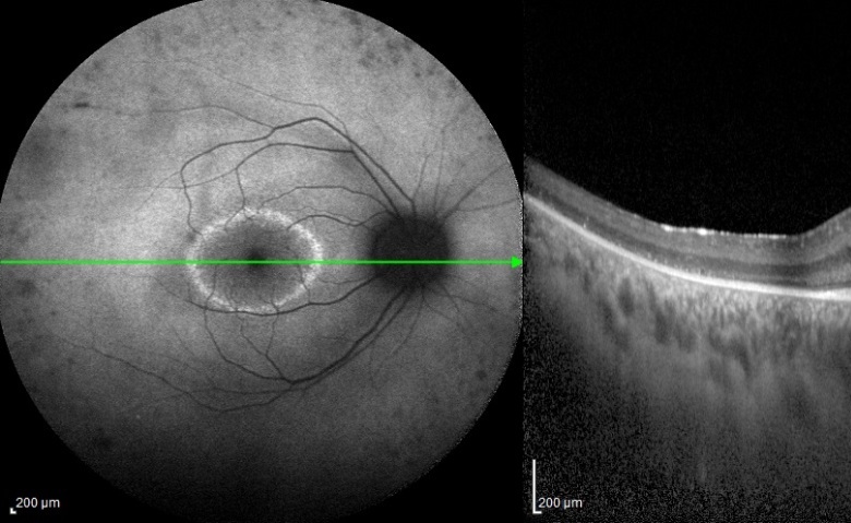
Spectralis-OCT
La tecnología Spectralis-OCT es un sistema de tomografía de Coherencia Óptica por imágenes que provee a los especialistas vistas únicas de la estructura y función del ojo. Se trata de una plataforma multimodal no invasiva y de no contacto para mayor detalle e información para el paciente en pocos minutos. Un equipo polivalente tanto para el estudio de patologías asociadas a la retina como del nervio óptico con el objetivo de facilitar al oftalmólogo un diagnóstico precoz.


Tomografía de Coherencia Óptica de alta resolución
La Tomografía de Coherencia Óptica (OCT) es una prueba diagnóstica no invasiva que no requiere dilatación pupilar que se realiza mediante un escáner selectivo de la retina y el nervio óptico. Se obtienen imágenes con gran detalle de la retina y la mácula para detectar cualquier cambio anatómico producido.
Autofluoresceína
Las imágenes de autofluorescencia del fondo del ojo son una técnica no invasiva que proporciona información detallada del surgimiento y evolución de enfermedades retinianas complejas y hereditarias como por ejemplo la DMAE. Proporciona por tanto información sobre la fisiopatología de la enfermedad y permite comprender la naturaleza de las enfermedades maculares y retinianas para que el oftalmólogo realice diagnósticos más exactos.


Angiografía con contrastes
La angiografía con contrastes es un procedimiento diagnóstico para el estudio de la vascularización de la retina.
Retinógrafo (Clarus 500)
Con este tipo de tecnología los especialistas en retina consiguen realizar fotografías del fondo del ojo con más detalles y precisión que con un retinógrafo convencional sin necesidad de dilatar la pupila.

Consejos para cuidar la retina
→ Controles oftalmológicos anuales.
Debes acudir al menos una vez al año a tu especialista oftalmólogo en retina. Este especialista, mediante exploraciones diagnósticas por imagen avanzada (OCT) puede prevenir, controlar y hacer un seguimiento de tu enfermedad, en el caso de padecer alguna patología relacionada con la retina, el vítreo o la mácula. Consulta nuestros especialistas de retina y mácula de Oftalvist.
→ Buena iluminación de tu entorno.
Reducirás así la fatiga visual al leer sobre los dispositivos electrónicos principalmente.
→ Proteger los ojos de los efectos nocivos del sol.
Con gafas de sol homologadas nos protegemos de los nocivos efectos de los rayos ultravioletas del sol en los ojos tanto en invierno como en verano.
→ No frotarse los ojos.
Ante cualquier contaminación ocular por agente externo lo más inmediato que se debe realizar es lavarse con agua limpia y en abundancia pero en ningún caso frotarase enérgicamente los ojos.
→ Alimentación sana.
Para mantener una buena función visual y prevenir el envejecimiento ocular, una dieta rica en antioxidantes y nutrientes evitarán el aceleramiento de cualquier patología asociada a la retina que amenace la pérdida de la visión. A continuación te contamos qué alimentos incluir en tu dieta para fortalecer la retina:
- Ácidos grasos Omega 3.
Las grasas omega-3 DHA se encuentran en la retina. Proporcionan soporte estructural a las membranas celulares que aumentan la salud ocular y protegen la función de la retina. Consumir una dieta rica en omega 3 puede retrasar enfermedades de la retina.
- Carotenoides.
La luteina y la zeaxantina se encuentran en los vegetales de hojas verdes. Actúan como un filtro solar natural en el fondo de ojo y ayudan a proteger nuestra visión de los efectos dañinos del sol. Además previenen la pérdida de visión que se produce con el paso del tiempo.
- Oligoelementos.
Contribuyen a detener el deterioro de la visión. Por ejemplo, el Zinc juega una importante función en el metabolismo de la retina por sus altos niveles de minerales y permite a la vitamina A crear un pigmento llamado melanina que protege nuestros ojos.
- Vitamina E.
Es un antioxidante natural que contribuye a prevenir o retrasar enfermedades como la visión con cataratas o la DMAE. Algunos ejemplos son el aguacate, las espinacas, las acelgas, los cacahuetes y el aceite de oliva.
- Vitamina A.
Se encuentra en las células fotosensibles de la retina, los conos y los bastoncillos. Una cantidad inadecuada de vitamina A puede provocar la presencia de puntos blancos en la conjuntiva. También favorece la generación de pigmentos esenciales para la retina. Nos ayudan a tolerar mejor los rayos ultravioletas del sol.
- Vitamina C.
Previene patologías maculares como la DMAE. Además de contener estos últimos flavonoides, una suerte de antioxidantes que previenen la acumulación de los radicales libres causantes del envejecimiento de las células oculares y lesiones internas del ojo.

Más información sobre cómo cuidar la vista en nuestro blog.