Retina / Miopía Magna
¿Qué es la miopía magna o alta miopía?
La miopía magna, alta miopía o miopía patológica es una enfermedad que padecen los pacientes con más de 6 dioptrías de miopía, lo cual suele acompañarse de un alargamiento del ojo por encima de los 28 milímetros.
La imagen se enfoca muy por delante de la retina, lo que hace que la visión sea más borrosa cuanto más alejadas estén las cosas.
Actualmente se calcula que la miopía magna afecta un 2% de la población, siendo más frecuente en el Mediterráneo y en Asia, así como en el género femenino.

Causas de la miopía magna
¿Por qué se produce la miopía magna? La miopía tiene un componente genético importante, por tanto, aquellas personas con antecedentes familiares con miopía son más propensos a heredarla.
Este defecto refractivo se produce por la longitud axial del globo ocular (más largo de lo normal). Es lo que se denomina miopía axial.
Cuando un paciente, por tanto, tiene alta miopía, el alargamiento del ojo provoca que la retina y otras estructuras oculares se adelgacen y como consecuencia se debiliten.
Este alargamiento puede iniciarse desde los diez años hasta los 50. Por tanto, cuantas más dioptrías tenga el ojo, más se alarga y las probabilidades existen de sufrir patologías asociadas.
Síntomas de la miopía magna
El paciente que tiene miopía magna, nota que su visión es borrosa de lejos con una importante disminución de agudeza visual. Por su parte, cuando se observan los objetos al acercarse, siempre y cuando no haya ninguna complicación macular, se mantiene una buena agudeza visual.
Los problemas más frecuentes que pueden desarrollar los pacientes con miopía magna son:
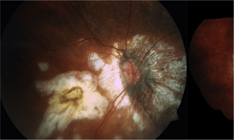
→ Atrofia progresiva de la retina y la coroides, pudiendo afectar la zona central de la misma, es decir, la mácula.
→ Alteraciones en el nervio óptico.
→ Formación de cataratas en los ojos a edades tempranas, así como glaucoma.
→ Atrofia coriorretiniana (placas de atrofia en la retina que reduce la visión, dependiendo de la zona afectada).
→ Hemorragias submaculares.
→ Desarrollo de vasos sanguíneos por debajo de la retina (Membranas neovasculares).
La degeneración del gel vítreo propia de pacientes con miopía patológica hace que sea muy frecuente la sensación de ver moscas volantes. Sólo por ello es necesario revisar periódicamente la periferia de la retina con la finalidad de localizar lesiones degenerativas que puedan predisponer al desprendimiento de retina.
Si además de las moscas volantes se ven destellos de luz, el riesgo es mucho mayor.
Por otra parte, ante la aparición de manchas oscuras fijas en el campo de visión central, o ante la sensación de ver los objetos deformados o torcidos, existe una alta posibilidad de que se haya desarrollado una degeneración macular miópica.

Tratamiento de la miopía magna
El tratamiento de la miopía magna debe individualizarse para cada caso en particular.
Fotocoagulación con láser
La aplicación de láser en lesiones degenerativas peligrosas en la periferia de la retina puede evitar el desprendimiento de la retina.

Inyecciones intraoculares
Por otra parte el tratamiento mediante inyecciones intraoculares de medicamentos antiangiogénicos puede evitar el desarrollo de cicatrices en la parte central de la retina.
Con solamente una inyección, la mayoría de casos de degeneración macular miópica pueden mejorar ostensiblemente, minimizando el riesgo de ceguera.
Por otra parte, hay complicaciones que deben ser tratadas con intervenciones quirúrgicas como la vitrectomía (maculopatía traccional miópica, membranas epirretinianas, etc).
Lentes intraoculares
Como la operación de ojos con láser para estos pacientes no es apta existe esta alternativa. Cuando se habla de lente ICL, se hace referencia a una lente fáquica, flexible e invisible. Ésta se coloca en la cámara posterior detrás de la pupila, entre el iris y el cristalino sin necesidad de extraer este último.
Mediante las lentes intraoculares ICL es posible corregir hasta 18 dioptrías de miopía y 10 de hipermetropía. Si existen síntomas de astigmatismo, es posible la implantación de una ICL tórica para corregirlo. Se trata de una intervención muy breve, de unos 10-15 minutos por cada ojo.

Lente intraocular ICL
Prevención de la miopía magna
La miopía magna no puede prevenirse ya que se considera una enfermedad oftalmológica severa. Sin embargo, sí pueden tratarse las enfermedades patológicas asociadas a ella mediante cirugía vitreoretiniana (desprendimiento de retina, agujero macular) o mediante inyecciones intravítreas.
Por tanto, cualquier paciente diagnosticado de miopía magna o alta debe realizar un examen oftalmológico completo anual de forma rigurosa y estricta. En este sentido, el diagnóstico precoz es fundamental para atender las complicaciones que puedan surgir en el pronóstico visual del paciente.

Para comprender mejor cómo se realiza esta cirugía, sus beneficios y el proceso de postoperatorio es contar con el testimonio en primera persona de pacientes que ya han vivido la experiencia de someterse a la implantación de lentes intraoculares.
Gerardo G.
Necesitaba deshacerme ya de las gafas y de las lentillas, estaba harto… elegí la opción de operarme con lentes intraoculares y mi vida ha cambiado.
Ana Margarita P. G.
En los primeros resultados di 0 dioptrías en el derecho y 0.25 en el izquierdo, un grandísimo logro para la gran cantidad de dioptrías que tenía. Ahora soy 100 por 100 independiente por no hablar de que veo muchísimo mejor que con lentillas y que con gafas. Los objetos tienen más luz y un brillo que no recordaba. Me pregunto si la gente que no es miope siempre ha visto así.
Preguntas frecuentes
→ ¿La miopía magna puede afectar a niños?
Es importante diferenciar la miopía magna, que no es sino el defecto de graduación en el que son necesarias más de 6 dioptrías de miopía, de la miopía patológica, que se caracteriza por alteraciones graves en la anatomía de la retina. En los niños es posible, aunque infrecuente encontrar miopía magna, pero es improbable encontrar miopía patológica. Cuando un niño desarrolla miopía magna es necesario estudiar la asociación de ésta con enfermedades como el síndrome de Stickler, el síndrome de Wagner, el síndrome de Marfan o el síndrome de Ehlers Danlos entre otras muchas.
→ Estoy embarazada y tengo miopía magna ¿existe algún tipo de riesgo para el parto?
Una paciente con miopía magna embarazada no tiene por qué tener problemas con el parto. Antiguamente se consideraba que el parto por vía vaginal era un riesgo de cara a desarrollar un desprendimiento de retina, pero hoy se conoce que esta posibilidad es anecdótica. No obstante, sí es recomendable que cualquier mujer gestante miope se someta a una revisión oftalmológica rutinaria durante su embarazo para valorar cambios refractivos, el estado de su mácula y la situación de la periferia de la retina mediante dilatación pupilar.
→ ¿La miopía magna se considera una discapacidad visual?
La miopía magna es actualmente la principal causa de afiliación a la ONCE en España. La discapacidad visual se mide no solamente por la cantidad de visión perdida, sino por las dificultades para ver adecuadamente en condiciones de oscuridad, la alteración en la visión de los colores, el estado del campo visual, y otra serie de parámetros. El seguimiento médico por parte de un oftalmólogo de todos los pacientes con miopía magna es fundamental y necesaria en todos los casos.
→ ¿Es suficiente son la revisión por parte del óptico el diagnóstico de miopía magna?
No es suficiente en absoluto. Durante un examen optométrico es imposible evaluar el estado de la totalidad de la retina en pacientes con miopía magna. Con una fotografía del fondo de ojo solamente se puede analizar un máximo de 50 grados del fondo de ojo, dejando sin examinar la parte más importante de la retina. La periferia de la retina solamente se puede evaluar por parte de un médico oftalmólogo dilatando las pupilas y haciendo uso de lentes especiales para examinar el fondo de ojo. En la periferia de la retina, que no puede verse en un examen optométrico sino solamente en una evaluación por un oftalmólogo, se desarrollan lesiones predisponentes a un desprendimiento de retina. Por ese motivo es esencial que todos los pacientes con miopía magna visita a un médico oftalmólogo especialista en retina al menos una vez al año.
→ ¿Dejo de ser miope si me opero mediante cirugía refractiva?
No se deja de "ser miope". Es una confusión muy habitual. Los pacientes con miopía magna mantienen todos los riesgos conocidos derivados de esta enfermedad independientemente de si son operados. La cirugía consigue que el paciente pueda prescindir de las gafas o lentillas. Pero no cambia el estado de la retina y los riesgos inherentes a la miopía magna. Por ese motivo es esencial que todos los pacientes con miopía magna operados mediante cirugía refractiva visita a un médico oftalmólogo especialista en retina al menos una vez al año de por vida.